-
Royaume-Uni: les travaillistes de Keir Starmer menacés de perdre leur bastion gallois
-
Abel Quentin, l'écrivain qui appelle à "défendre l'homme" contre l'IA
-
"Prêt" et "ambitieux", Paul Seixas annonce sa participation au Tour de France
-
Conflits: OMS, MSF et le CICR dénoncent la généralisation des attaques contre les services de santé
-
Australie: l'antisémitisme au coeur de la commission d'enquête sur l'attentat de Bondi
-
Musk contre Altman: un confondateur d'OpenAI et ses vieux carnets ouvrent la 2e semaine du procès
-
En Irak, le tourisme religieux, pilier du secteur, frappé par la guerre régionale
-
Audiovisuel: publication mardi du rapport Alloncle, visé par une plainte
-
Dossiers Epstein: un recruteur, des hommes d'affaires et des "paliers" de soumission
-
Une équipe nord-coréenne a rendez-vous au Sud fin mai pour un match de foot rare
-
Climat: la lutte contre le méthane, possible solution à la crise énergétique, selon l'AIE
-
L'Australie lance un long travail sur les causes de l'attentat de Bondi
-
À Almaraz, l'inquiétude face à la fermeture prévue de la plus grande centrale nucléaire d'Espagne
-
NBA: Wembanyama contre Gobert en play-offs, duel français en haute altitude
-
Trump lance une opération pour débloquer le détroit d'Ormuz, mise en garde de l'Iran
-
GameStop veut racheter eBay pour environ 56 milliards de dollars, pour concurrencer Amazon
-
La Cour internationale de justice examine le litige frontalier entre le Guyana et le Venezuela
-
Boeing de nouveau au tribunal, en lien avec le crash d'Ethiopian Airlines
-
Face aux désordres du monde, les députés se penchent à nouveau sur les moyens des armées
-
Audiovisuel: l'heure de la publication du rapport Alloncle, nouveaux litiges en vue
-
Musk contre Altman: le procès sur la mission d'OpenAI entame sa 2e semaine
-
L'Europe et le Canada se serrent les coudes en Arménie face à Trump et Poutine
-
Trump annonce un déblocage du détroit d'Ormuz, mise en garde de l'Iran
-
Trump annonce un déblocage du détroit d'Ormuz et des discussions "très positives" avec l'Iran
-
Ligue 1: Lyon prend une option pour la Ligue des Champions
-
Espagne: le Real bat l'Espanyol et retarde le titre du Barça
-
Italie: l'Inter Milan remet les points sur les i
-
Trois morts liés à un possible foyer de hantavirus sur un bateau de croisière dans l'Atlantique
-
GP de F1 de Miami: troisième victoire consécutive pour Kimi Antonelli
-
Trois morts liés à un possible foyer de hantavirus sur un bateau de croisière dans l'Atlantique (OMS)
-
Religieuse agressée à Jérusalem: des fidèles inquiets mais "pas étonnés"
-
C1 féminine: l'OL Lyonnes retrouve la finale et remet en lumière le foot français
-
Challenge Cup: Montpellier dompte Newport et accède à la finale
-
Teknival: les départs s'accélèrent, le gouvernement veut "mieux réprimer"
-
Champions Cup: Maxime Lucu, la panoplie complète pour porter l'UBB face à Bath
-
Champions Cup: en patron, Bordeaux-Bègles écarte Bath retourne en finale
-
Tennis: le N.1 mondial Jannik Sinner remporte à Madrid un 5e Masters 1000 consécutif
-
Cyclisme: Pogacar gagne son premier Tour de Romandie, quadruplé à la clé
-
Le Teknival de Bourges se vide, le gouvernement veut "mieux réprimer" ces "rassemblement illégaux"
-
Dans le sud du Liban, un mort et huit blessés dans des frappes israéliennes (ministère)
-
Challenge : Montpellier dompte Newport et accède à la finale
-
Tour d'Espagne femmes: Noemi Ruegg remporte la 1re étape, Ferrand-Prévot dans le coup
-
Pétrole: L'Opep+ maintient le cap, sans commenter le départ des Emirats arabes unis
-
Premiers départs à la free party près de Bourges, Laurent Nuñez sur place
-
L'Iran met les Etats-Unis au défi de choisir entre un "mauvais accord" ou une opération militaire "impossible"
-
Un décret autorise le démantelement de l'ancienne centrale nucléaire de Fessenheim
-
"Flottille pour Gaza": deux militants devant la justice israélienne
-
Bangkok, paradis de la street food, donne un coup de balai parmi les vendeurs de rue
-
En Inde, ce festival qui offre un moment de liberté à la communauté transgenre
-
Le boom des véhicules électriques protège le Népal de la crise énergétique
Un ver qui parasite les serpents découvert dans le cerveau d'une Australienne
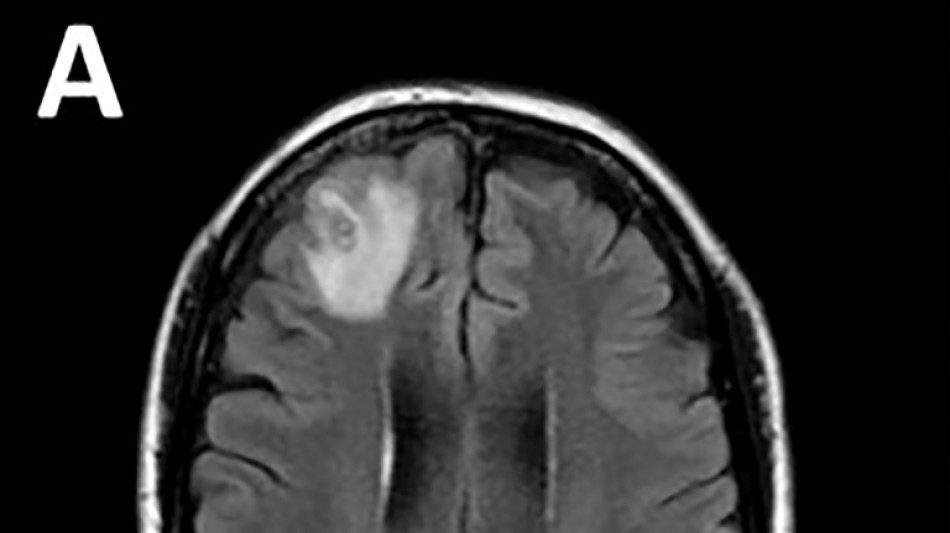
Un ver rond, qui parasite généralement les serpents, a été découvert pour la première fois sur un être humain, extrait "vivant et se tortillant" du cerveau d'une Australienne lors d'une intervention chirurgicale, ont annoncé mardi des médecins australiens.
Les médecins ont découvert une "lésion atypique", grâce à un examen IRM, dans la partie frontale du cerveau de l'Australienne, âgée de 64 ans, qui souffrait de pertes de mémoire.
Il s'agissait d'un Ophidascaris robertsi, un ver rond de huit centimètres qui, selon les chercheurs, est un parasite des kangourous et des pythons, en Australie. Il parasite des animaux dans d'autres régions du monde, mais il n'avait encore jamais été détecté sur un être humain.
"Il s'agit du tout premier cas humain d'Ophidascaris décrit dans le monde", a déclaré le docteur Sanjaya Senanayake, spécialiste des maladies infectieuses.
"À notre connaissance, c'est également le premier cas impliquant le cerveau d'une espèce de mammifère, humaine ou autre", a-t-il précisé.
Cette découverte a fait l'objet d'un article dans la revue "Emerging Infectious Diseases".
Les scientifiques pensent que l'Australienne a été parasitée par des plantes comestibles, probablement contaminées par des larves présentes dans des excréments de serpents.
Le parasite, dont la "structure en forme de fil" est apparue sur les scanners cérébraux, a ensuite été identifié grâce à des tests ADN.
"Il n'est jamais facile ni souhaitable d'être le premier à être malade de quoi que ce soit au monde", a ajouté le Dr Senanayake, "je ne saurais trop exprimer notre admiration pour cette femme, qui a fait preuve de patience et de courage tout au long de ce processus."
Selon le Dr Senanayake, il est "probable que d'autres cas soient identifiés à l'avenir".
O.Brown--AT