-
"C'est devenu banal": aux Antilles, les armes à feu s'installent au quotidien
-
Le gouvernement Trump publie une partie de l'explosif dossier Epstein, aux photos et textes caviardés
-
Cyclisme: Madiot "lâche le guidon" à la Groupama-FDJ, la fin d'une époque
-
NBA: Wembanyama déplume les Hawks, Edwards croque le Thunder
-
Boxe: Joshua a eu besoin de six rounds pour éteindre Paul à l'issue d'un piètre spectacle
-
Report de l'accord UE-Mercosur: le Paraguay s'impatiente
-
Trump annonce de "très lourdes représailles" contre l'EI en Syrie
-
Trump "n'exclut pas" une guerre avec le Venezuela
-
Coupe de France: sur sa lancée, Lens écarte Feignies-Aulnoye et file en 16e
-
Wall Street termine en hausse, la tech reprend des forces
-
Espagne: une association de défense des consommateurs attaque Google sur la protection des données
-
Le bras de fer judiciaire entre Shein et le gouvernement continue
-
Le FMI débloque 200 millions de dollars pour le Sri Lanka après le cyclone Ditwah
-
Fin du procès de Lafarge pour financement du terrorisme, jugement le 13 avril 2026
-
Taïwan : trois personnes tuées dans des attaques dans le métro de la capitale
-
Après moult atermoiements, l'administration Trump va publier une partie du dossier Epstein
-
Biathlon: au Grand-Bornand, Jacquelin 3e du sprint au milieu de l'armada norvégienne
-
Le Mercosur réuni au Brésil, l'UE vise le 12 janvier pour l'accord
-
Papillomavirus: couverture vaccinale des adolescents en hausse, mais toujours en deçà des objectifs
-
Un journaliste suédo-érythréen détenu en Erythrée depuis 24 ans est en vie, selon la Suède
-
Ukraine: menacé par les frappes russes, un haras contraint d'évacuer des chevaux
-
Les casinos frontaliers en première ligne du conflit Thaïlande-Cambodge
-
Dans un camp palestinien, un terrain de foot menacé par un avis de démolition israélien
-
Brésil: la Cour suprême invalide une loi qui restreint le droit à la terre des indigènes
-
Budget: députés et sénateurs échouent à se mettre d'accord, pas de budget avant la fin de l'année
-
Shein échappe à une suspension et rouvrira progressivement sa place de marché
-
Wall Street ouvre en hausse, évalue les options de la politique monétaire américaine
-
Dossier Epstein: "ça a pris trop longtemps", estiment des militants pro-Trump
-
Norvège: la princesse Mette-Marit va probablement subir une transplantation pulmonaire
-
Gaza: plus de 1.000 personnes décédées en attendant une évacuation médicale depuis juillet 2024, annonce l'OMS
-
Ski: Zabystran surprend Odermatt, Allègre abonné à la 4e place
-
Bangladesh: nouvelles manifestations après la mort d'un leader étudiant assassiné
-
L'AFP veut réformer son système d'expatriation pour faire des économies
-
"Nous sommes des fantômes": à la rencontre de travailleurs de nuit immigrés au Royaume-Uni
-
CAN-2025: décrocher le titre, la seule option pour le Maroc
-
Perrier peut continuer à vendre de "l'eau minérale naturelle"
-
TikTok signe un accord et échappe à l'interdiction aux Etats-Unis
-
Disparition d'uranium au Niger: enquête ouverte à Paris pour vol en bande organisée
-
Guerre en Ukraine : Poutine assure que "la balle est dans le camp" de ses adversaires
-
Ski: Zabystran surprend Odermatt et s'offre le super-G de Val Gardena
-
Foot: fracture de la main gauche pour le gardien du PSG Matvey Safonov (club)
-
Tirs à l'université Brown: Washington suspend le programme de visas dont a bénéficié le suspect
-
Le caviar de béluga, le trésor du lac Kardjali en Bulgarie
-
Ethiopie: dans le conflit qui fait rage en Amhara, les civils "pris entre deux feux"
-
Budget: échec du compromis entre députés et sénateurs, pas de budget avant la fin de l'année
-
Violences sexuelles dans le sport: "un enfant n'invente jamais une agression"
-
Les yakuzas japonais délaissés par les nouveaux gangsters
-
Nouvelle frappe américaine dans le Pacifique, plus de 100 morts depuis septembre
-
En Afghanistan, clap de fin forcé pour un cinéma historique de Kaboul
-
Italie: après le fils aîné, le fils cadet d'Ibrahimovic aussi sous contrat avec l'AC Milan
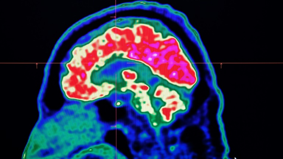
"Décoder" les pensées par l'imagerie cérébrale et l'intelligence artificielle
Des scientifiques ont mis au point un décodeur qui, via l'imagerie cérébrale et l'intelligence artificielle, arrive à traduire en langage la pensée d'une personne sans qu'elle ne s'exprime, selon une étude publiée lundi.
L'objectif principal de ce "décodeur de langage" est d'aider des patients ayant perdu l'usage de la parole à communiquer leurs pensées via un ordinateur. Bien qu'à vocation médicale, ce nouveau dispositif soulève néanmoins des questions sur l'atteinte à la "vie privée mentale", concèdent les auteurs de l'étude parue dans Nature Neurosciences.
Pour parer aux critiques, ils soulignent que leur outil ne fonctionne qu'après un entraînement du cerveau en passant de longues heures dans un appareil d'IRM (imagerie par résonance magnétique).
De précédentes interfaces cerveau-machine, destinées à permettre à des personnes souffrant de handicaps majeurs de retrouver de l'autonomie, ont déjà fait leurs preuves. L'une de ces interfaces a ainsi pu retranscrire les phrases d'un paralytique incapable de parler ou de taper sur un clavier.
Mais ces dispositifs requièrent une chirurgie invasive, avec l'implantation d'électrodes dans le cerveau, et se focalisent uniquement sur les zones du cerveau qui contrôlent notre bouche pour former des mots.
"Notre système, lui, fonctionne au niveau des idées, de la sémantique, du sens", a dit lors d'une conférence de presse Alexander Huth, neuroscientifique à l'Université d'Austin au Texas, co-auteur de l'étude. Et ce de manière non-invasive.
Durant l'expérience, trois personnes ont passé 16 heures dans un appareil d'imagerie médicale fonctionnelle (IRMf): cette technique permet d'enregistrer les variations du flux sanguin dans le cerveau, rendant ainsi compte en temps réel de l'activité des zones cérébrales durant certaines tâches (parole, mouvement...).
On a fait écouter aux volontaires des podcasts racontant des histoires. Ce qui a permis aux chercheurs de déterminer comment les mots, les phrases et leur signification stimulaient différentes régions du cerveau.
Ils ont ensuite intégré ces données à un réseau neuronal artificiel de traitement du langage utilisant GPT-1, le prédécesseur du robot conversationnel ChatGPT.
Le réseau a été entraîné à prédire comment chaque cerveau réagirait au discours entendu. Chaque personne a ensuite écouté une nouvelle histoire à l'intérieur de la machine IRMf, afin de vérifier si le réseau avait deviné juste.
- "Plus profond que le langage" -
Résultat: même s'il paraphrasait ou changeait souvent l'ordre des mots, le décodeur arrivait à "reconstituer le sens de ce que la personne entendait", a expliqué Jerry Tang (Université d'Austin), premier auteur de l'étude.
Par exemple, lorsqu'un utilisateur a entendu la phrase "je n'ai pas encore mon permis de conduire", le modèle de réseau a répondu "elle n'a même pas encore commencé à apprendre à conduire" .
L'expérience est allée plus loin: même quand les participants imaginaient leurs propres histoires ou visionnaient des films muets, le décodeur était capable de saisir l'essentiel de leur pensée.
Ces résultats suggèrent que "nous décodons quelque chose qui est plus profond que le langage, puis nous le convertissons en langage", a poursuivi M. Huth.
Il s'agit d'une réelle avancée par rapport aux précédentes interfaces cerveau-machine, a réagi David Rodriguez-Arias Vailhen, professeur de bioéthique à l'Université espagnole de Grenade, qui n'a pas participé à l'étude.
Cela nous rapproche d'un avenir où les machines seront "capables de lire dans les esprits et de transcrire les pensées", a commenté le scientifique. Mais il avertit que cela pourrait se faire contre la volonté des personnes, par exemple lorsqu'elles dorment, et donc compromettre à l'avenir notre liberté.
Des risques que les auteurs de l'étude ont anticipés, en démontrant que le décodeur ne fonctionnait pas sur le cerveau d'une personne sur lequel il ne s'était pas entraîné.
Les trois participants ont en outre réussi à déjouer facilement la machine: tout en écoutant un podcast, ils devaient compter par sept, imaginer et nommer des animaux, ou se raconter une autre histoire dans leur tête... Autant de tactiques qui ont "saboté" le travail du décodeur.
Les auteurs de l'étude ont néanmoins appelé à la mise en place d'une réglementation visant à protéger la vie privée.
E.Rodriguez--AT