-
Cuatro detenidos por lanzar alimentos contra una vitrina que protege las joyas de la corona británica
-
Milei presenta cazas F16 que compró a Dinamarca como "ángeles protectores" de Argentina
-
Investigarán a cinco laboratorios por la posible fuga del virus de la peste porcina en España
-
SpaceX, de Elon Musk, eleva su valoración a 800.000 millones de dólares
-
Inculpan en Inglaterra a un médico acusado de agresiones sexuales a más de 30 pacientes
-
Nuevos ataques rusos en Ucrania provocan cortes de calefacción y agua
-
Catar y Egipto piden implementar la segunda fase del acuerdo de tregua en Gaza
-
Rechazan en Irlanda el último recurso de Conor McGregor en un caso de violación
-
Dos detenidos en Irán por la participación de corredoras sin velo en un maratón
-
El Cardiff y el Nantes se enfrentan en un tribunal de comercio por la muerte de Emiliano Sala
-
El papa afirma que no permanecerá "de brazos cruzados" ante las violaciones de los derechos humanos
-
Doce muertos, incluyendo tres menores, en un tiroteo en un albergue de Sudáfrica
-
La jefa de la diplomacia de la UE dice que EEUU sigue siendo su "mayor aliado"
-
Leila Guerriero: en el periodismo hay que mirar "hasta lo que no te gusta"
-
Revisan al alza al 0,3% el crecimiento de la zona euro en el tercer trimestre
-
Villarreal sigue en la lucha por LaLiga tras ganar 2-0 al Getafe
-
Al menos cuatro civiles muertos en enfrentamientos en la frontera entre Pakistán y Afganistán
-
El envenenamiento de colmenas provoca una inusual mortandad de abejas en Uruguay
-
Milei convocará al Congreso para tratar sus reformas antes del fin de 2025
-
Honduras prolonga el suspenso en el conteo de votos bajo denuncias de fraude
-
Pogacar y Ferrand-Prevot, elegidos mejores ciclistas del año
-
Buendía tumba al Arsenal y relanza la carrera por la Premier League
-
Un juez ordena publicar los archivos del caso de Epstein en Florida
-
La Corte Suprema de EEUU evaluará el decreto de Trump contra la nacionalidad por nacimiento
-
Bolsonaro designa a su hijo Flávio para disputar las elecciones de 2026 en Brasil
-
Colombia y el Clan del Golfo acuerdan en Catar continuar las conversaciones
-
Arica, la ciudad chilena en la frontera con Perú intimidada por el crimen
-
Francia investiga el vuelo de drones sobre una estratégica base naval
-
La National Gallery acogerá en 2026 la primera gran exposición de Zurbarán en Reino Unido
-
Subastado en París un Renoir confiscado por los nazis en la II Guerra Mundial
-
Diez universitarios mueren en un incendio en un restaurante en Perú
-
Una localidad francesa ofrece mil euros por niño para salvar una maternidad
-
Notre Dame acogió a más de 11 millones de visitantes en el primer año tras su reapertura
-
Una nueva caída del proveedor Cloudflare perturba brevemente una parte de internet
-
Las acciones del competidor chino de Nvidia se disparan en su debut bursátil
-
La Corte Suprema valida la reconfiguración electoral republicana en Texas para 2026
-
La opositora venezolana María Corina Machado anuncia que estará en Oslo para recibir su Nobel
-
Evacúan a 169 pasajeros tras un incendio cerca del avión en un aeropuerto de Brasil
-
Venezuela presenta un presupuesto en bajada para 2026
-
Veto Trump y temor de las aerolíneas extranjeras: ¿es seguro volar en Venezuela?
-
Trump contrata a un nuevo arquitecto para el salón de baile de la Casa Blanca
-
EEUU reduce la validez de los permisos de trabajo para refugiados y solicitantes de asilo
-
Varios países anuncian un boicot de Eurovisión tras permitirse la participación de Israel
-
EEUU aprueba dejar de recomendar la vacunación contra la hepatitis B en los recién nacidos
-
Bill Gates alerta sobre un repunte "trágico" de la mortalidad infantil por los recortes en las ayudas
-
Un informe académico confirma la bajada de la pobreza en Argentina, aunque menor a la oficial
-
La opositora venezolana María Corina Machado estará en Oslo para recibir su Nobel
-
Pingüinos de El Cabo sufrieron una hambruna masiva en Sudáfrica, según un estudio
-
Las islas Feroe autorizan el derecho a abortar hasta las 12 semanas de embarazo
-
Chatbots de IA pueden influir en los votantes, según dos estudios
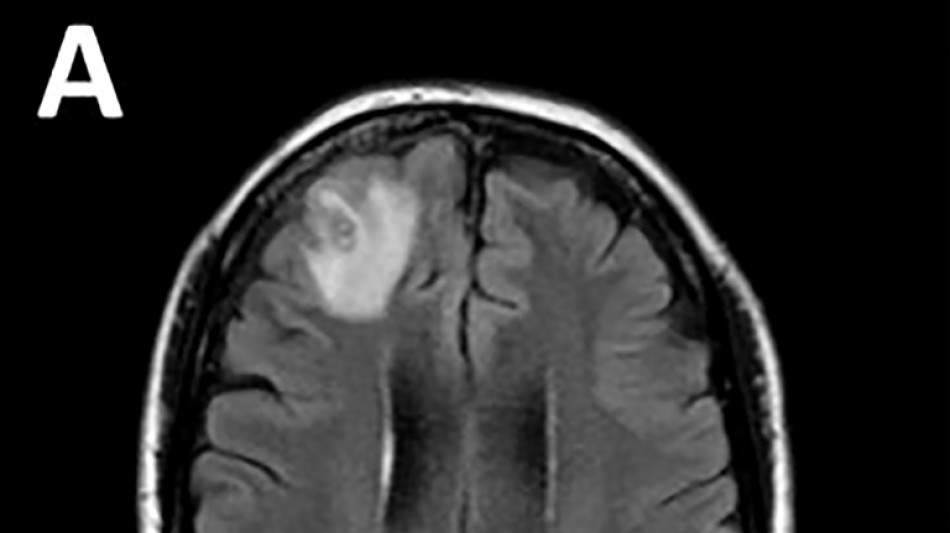
Médicos australianos hallan por primera vez una lombriz parásita en el cerebro de una mujer
Una lombriz parásita usualmente encontrada en serpientes fue retirada "viva y coleando" del cerebro de una mujer, algo que no se había visto en los registros médicos, informaron el martes médicos australianos.
Desconcertados, los médicos realizaron una resonancia magnética a una mujer australiana de 64 años después de que comenzara a sufrir lapsos de memoria y notaron una "lesión atípica" en el frente de su cerebro.
Era una lombriz de ocho centímetros llamada Ophidascaris robertsi, que según investigadores son parásitos comunes en canguros y pitones diamantina pero no en humanos.
"Este es el primer caso humano de una Ophidascaris en el mundo", afirmó el experto en enfermedades infecciosas Sanjaya Senanayake.
"Hasta donde sabemos, es también la primera vez que aparece en el cerebro de una especie de mamífero, humano o no", agregó.
Los investigadores creen que la mujer se infectó después de buscar arbustos comestibles cerca de su casa que podrían haber estado contaminados con larvas parasitarias diseminadas en las heces de las serpientes.
"Nunca es fácil o deseable ser el primer paciente del mundo para nada", indicó Senanayake.
"No puedo enfatizar más nuestra admiración por esta mujer que ha mostrado paciencia y coraje en el proceso", agregó.
El caso fue publicado en el diario Emerging Infectious Diseases y Senanayake anticipó que podrían detectarse más casos en otros países.
E.Rodriguez--AT