-
Puccini, Verdi, Bizet in chiave jazz per il pianista Danilo Rea
-
Commerzbank alla Faz, 'piano Unicredit smantella la banca'
-
Boom di brevetti per il riciclo delle batterie al litio, domina l'Asia con il 63%
-
Scimpanzè sedati e rari rettili sequestrati all'aeroporto del Cairo, un arresto
-
Borsa: Milano in rialzo con le banche, corre Stm
-
Playoff Nba: Detroit batte Orlando, in semifinale trova Cleveland
-
Il prezzo del gas apre in calo a 44,92 euro al megawattora
-
Borsa: l'Asia chiude in rialzo, si guarda al Medio Oriente
-
Fondazione Cariplo approva bilancio, attività sale a 187,2 milioni euro
-
Takaichi in Australia: 'Enormi ripercussioni dalla chiusura di Hormuz'
-
Un aereo United Airlines colpisce un palo della luce e un camion durante l'atterraggio
-
Petroliera colpita al largo delle coste degli Emirati Arabi
-
'Rudolph Giuliani ricoverato in ospedale in condizioni critiche ma stabili'
-
Scudetto Inter: Chivu, 'pagina importante della storia di questo club grandioso'
-
Scudetto Inter: Dimarco, 'questa vittoria è qualcosa di speciale'
-
Marotta fiducioso, 'per il futuro guardiamo ai migliori giovani italiani'
-
Proteste globali per la liberazione dei detenuti politici in Venezuela
-
Scudetto Inter: Lautaro, 'sofferto tantissimo, non era facile ripartire'
-
Barella: "Scudetto Inter grande traguardo, importante sapersi rialzare"
-
Trump, via a Project Freedom per liberare le navi bloccate a Hormuz
-
L'Inter batte 2-0 il Parma e vince il suo 21/o scudetto
-
Premier: De Zerbi vince ancora, il Tottenham esce dalla zona retrocessione
-
Sinner, "Roma? Non c'è motivo per non andare, ma ora voglio godermi il momento"
-
F1: Miami; presidente Aci La Russa 'Antonelli modello vincente e orgoglio nazionale'
-
Melenchon si candida alle presidenziali francesi, è ufficiale
-
Serie A: Spalletti, 'a volte si diventa poca roba, abbiam fatto tutto noi'
-
F1: Miami; vince Antonelli su Norris, sesta la Ferrari di Leclerc
-
Serie A: Juventus-Verona 1-1
-
Sinner, 'dietro al record molta dedizione, ora Roma e Parigi'
-
Da Parigi a Madrid,Sinner il primo della storia a vincere 5 Masters 1000 di fila
-
Sinner da record, vince anche Madrid ed è il quinto Masters di fila
-
Campione con il Porto a 37 anni, il Portogallo celebra il tecnico italiano Farioli
-
TonyPitony scherza, 'Sanremo? Ci tornei solo da conduttore'
-
Calcio: malore per Alex Ferguson all'Old Trafford, portato in ospedale per precauzione
-
Ponte 1 maggio, tutto esaurito al Museo nazionale del Cinema, 11.000 presenze
-
Todd, 'l'impero Usa verso la terza sconfitta geopolitica'
-
Pogacar vince il Giro di Romandia, sua anche l'ultima tappa
-
Von der Leyen, 'la libertà di stampa è uno dei pilastri della democrazia'
-
Tusk, 'vertice Epc lanci segnale chiaro, amicizia Europa-Usa è cruciale'
-
Boom dell'export di petrolio Usa con la chiusura di Hormuz
-
Machado, elezioni in Venezuela 'il prima possibile' con istituzioni riformate
-
Atletica: World Relays, la 4x100 mista si qualifica ai Mondiali
-
Forum ANSA con il direttore dell'Agenzia delle Entrate Carbone su Ansa.it
-
Opec+ aumenta la produzione di 188mila barili al giorno
-
Matteo Mancuso, 'eterno studente della chitarra, si impara da chiunque'
-
Nelle fabbriche cinesi di Leapmotor, da dove parte l'offensiva elettrica in Europa
-
Bologna e Cagliari pari senza gol, e' il terzo 0-0 nella 35/a di serie A
-
La festa è finita!, dalla lotta di classe a una tragicomica corsa ai soldi
-
Shakira incanta Copacabana e celebra la forza delle donne brasiliane
-
Calcio: Gasperini 'ora testa al campo, al futuro penseremo a fine anno'
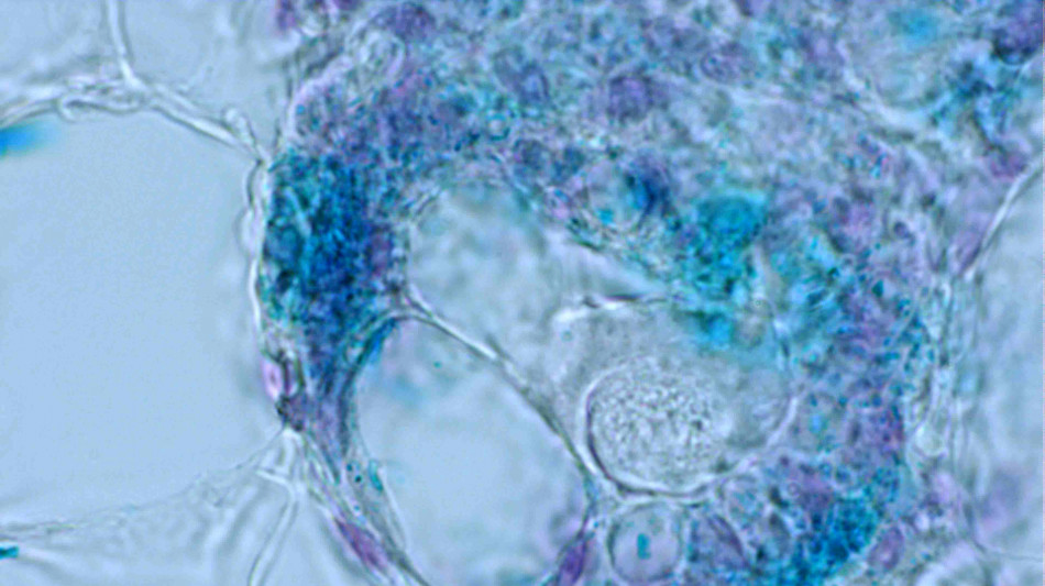
Tumore seno, farmaco aumenta sopravvivenza senza peggioramento
-62% rischio progressione o morte in pazienti con mutazione Esr1
Passi avanti nel trattamento del carcinoma mammario avanzato Er-positivo, che rappresenta circa il 70% dei casi di carcinoma mammario: i risultati dello studio di fase 3 'evEra Breast Cancer', presentati al Congresso dell'European Society for Medical Oncology (Esmo) in corso a Berlino, hanno dimostrato che la molecola giredestrant in combinazione con everolimus riduce significativamente il rischio di progressione di malattia o morte (sopravvivenza libera da progressione) del 44% nelle popolazioni intention-to-treat (Itt) e del 62% nelle pazienti con mutazione Esr1, rispetto alla terapia endocrina standard più everolimus. Lo studio valuta la combinazione di giredestrant nelle pazienti con carcinoma mammario localmente avanzato o metastatico positivo al recettore degli estrogeni, negativo al recettore del fattore di crescita epidermico umano di tipo 2, precedentemente trattate con un inibitore delle chinasi ciclina-dipendenti 4 e 6 e terapia endocrina. Si tratta del primo studio di fase 3 testa a testa che indaga un regime contenente un degradatore selettivo del recettore degli estrogeni rispetto a una combinazione standard di cura che ha mostrato un risultato positivo. I dati saranno condivisi con le autorità regolatorie, con l'obiettivo di rendere disponibile alle pazienti il prima possibile questa nuova opzione terapeutica. In questo tipo di carcinoma, la resistenza alle terapie endocrine, in particolare nel setting post-inibitore di Cdk4/6, aumenta il rischio di progressione di malattia ed è associata a scarsi risultati clinici. Le terapie di combinazione orali, come giredestrant più everolimus, agendo su due diverse vie di segnalazione, potrebbero migliorare i risultati di efficacia e, al contempo, ridurre l'impatto del trattamento sulla qualità di vita delle pazienti. "Il beneficio clinicamente significativo osservato con la combinazione orale di giredestrant più everolimus è un risultato molto incoraggiante e testimonia il suo potenziale impatto nel migliorare gli esiti in un profilo di pazienti che hanno un forte bisogno di nuove opzioni terapeutiche", spiega Erica L. Mayer, oncologa medica presso il Dana-Farber Cancer Institute di Boston.
A.O.Scott--AT